

中医典型病案
【姓名】巩某某
【性别】男
【年龄】52岁
【诊断】左肺下叶腺癌术后双肺转移
【诊断日期】2014年01月
【末次随访】2018年01月23日
【现病史】患者2014年7月就诊于中国医学科学院肿瘤医院诊断左肺下叶腺癌行手术切除pT3N2,术后辅助化疗后不到1年2015年5月复查发现双肺转移,基因检测阴性,中西医结合至今,病灶进展缓慢,体力状况PS 100分。

治疗经过

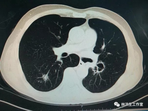
瘤体大小:中西医结合缓慢进展
2017-06中药治疗前:双肺多发转移瘤继续较前增多、增大约1.9*2.3cm
2017-10-21中药治疗后:双肺多发转移瘤大者增大至约2.6*2.3cm

- 还没有人评论,欢迎说说您的想法!
